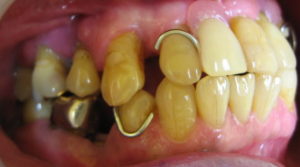
治療を始める前のお口の状態
初診時のお口の状態は、上下に歯が欠損している部分が何カ所かあり、一般的なバネで止めるタイプ(クラスプ)の義歯をご使用でした。
よく噛めない、バネをかけている歯が折れて入れ歯がカタカタ動いて、喋っている時に人前で前歯と前歯の接触の浅い、この様なタイプの歯並びの方の場合、噛む時に必要な顎運動の際に歯は前後左右に動きますが、中間歯から奥歯にかけてのみの歯の接触となる為、奥歯のダメージが強くかかる為、奥歯を早期に喪失する結果となります。
奥歯を数本失って、適正な歯を入れていないと、上下の歯と歯の高さが保てずに、高さが潰れてくることによって、上顎前歯が出っ歯になってきます。
これは、下の前歯が上の前歯を強く突き上げてくるために起こってくることです。


上下顎全体の治療
この方の様に奥歯をすでに数本失ってる場合の治療は、いきなり最終的に作る入れ歯は作れません。
治療を2段階に分ける必要があります。
仮義歯で噛める状態へ回復
1段階目として先ずは仮義歯を入れる事によって、噛める状態への回復を早い段階で行います。
一般的な保険治療では、仮義歯が出来ません。
その為、悪くなったところを順番に治療していくのですが、このような治療手順ですと、初診時より更に噛めない状態に陥る事で、治療中の更なる悪化が進みます。
治療を始めると別のところがあっちこっち悪くなって治療範囲が広がっていくのは、このためです。
この様な事を避ける為、先ずは噛める状態にまで仮義歯で回復してから、個々の歯の悪いところを治療していきます。
この時も、治療と共に徐々に奥歯のかみ合わせる歯が低くならない様に高さが潰れない様にしながら、個々の歯の治療を行う必要があります。
最終的な義歯の作成
この様に仮義歯を入れた状態を保ちつつ、抜歯が必要な歯は抜歯し、虫歯の歯を治療し、全ての歯の状態が整ったところで、2段階目として、最終的な義歯を作製します。
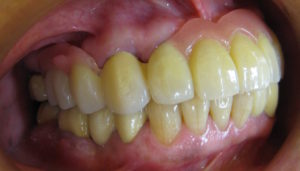
上顎全体と下顎の左側奥歯は義歯で治療を行いましたが、下顎の右側は固定式のブリッジ(かぶせもの)で治療を行いました。
上顎 顎タイプのコーヌステレスコープ義歯
顎タイプのコーヌステレスコープ義歯。

※上顎義歯 表

※上顎義歯 裏
下顎
左側は片顎タイプのリーゲルテレスコープ義歯、右側はブリッジ(被せもの)。

※下顎 左側

※下顎 右側
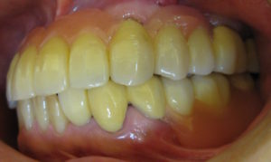
治療後のお口の状態


最終的な治療が終わると、この様なきれいなかみ合わせの歯に回復することが可能です。
治療後は長期的に安定して使用して頂く為、3-6か月毎に定期的な歯のクリーニングと義歯のチェックをお薦めしています。