小児時期に必要な矯正治療例をご紹介します。
小さい時から歯の検診に定期的に通ってきてくれていた子です。小さい頃から歯の検診に通ってくれている子は、虫歯以外でも、歯並びなど治療が必要な場合の発見がより早くできるので、重症化するリスクが予防できます。
永久歯が生え始めた時期の検診の時に、奥歯が乳歯と重なり下から生えていました。このままだと永久歯が低い位置のまま成長が終わってしまう可能性がありました。これは下顎骨の成長が足りない為、奥歯の生えるスペースが歯列内に無い事で、この様な歯並びになっています。このまま大人になると、かなり治すのが難しい不正咬合になります。

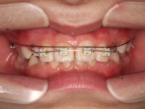
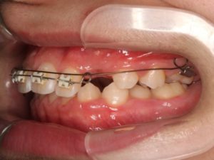
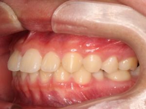
この様に顎の成長が足りない子が最近ではとても多く、この様なかみ合わせの子供は、下顎骨の発育が小さくて、上下の歯のかみ合わせがとても深く低い歯が特徴です。写真より、下の前歯が上の前歯に覆われてほとんど見えないと思いますが、これは上下の歯の高さが低い事を示しています。


子供の時期の矯正治療では、概ね小学校入学くらいの時期で、乳歯列から永久歯が生え始める混合歯列期に移行する時期の初期に始めます。6歳臼歯と呼ばれる第一大臼歯が生え始める時期に歯の矯正治療をスタートすることで、低く生えている奥歯の高さを正常な高さにコントロールするのも、永久歯が生えそろってからでは難しいですが、これから生えてくる永久歯の高さをコントロールする事で、より適正な歯の高さや歯並びへ改善する事が出来ます。
この子の場合は、中学校受験もあったので本人やご両親ともお話しして、小学校6年生の夏休み前ぐらいまでで治療を終了としました。


現在は数ヶ月に一度検診に来院しています。下顎は全ての永久歯が生え揃っていませんが、下顎はもう少し歯列が広くないと歯並びは真っ直ぐには並びません。
しかし、ここまで歯並びの改善が成長期にできていれば、大人になった時の不正咬合の重症度はかなり下がります。

本人の希望があれば18−20歳くらいになった時に矯正の2期治療で歯並びを改善すれば、とてもキレイな歯並びに治ると思います。特に治療の希望がなく、かみ合わせの機能に問題がなければ、ここまでの治療で終了となります。この様に、乳歯列期から混合歯列期初期に始める矯正治療は1期治療と言い、主に上下顎の骨格の大きさや高さのバランスに問題がある場合に行う治療で、如何に大人になるまでの間に軽症にするかという部分にフォーカスを当てた治療で、主に骨格の成長の適正化を図る治療となります。これが、小児時期の矯正治療の考え方となります。
治療費用
(1期矯正治療)
治療前の検査費用:50,000円
矯正基本治療費:450,000円
矯正管理料:3000円/回
*治療を行った地点での費用の表示となります。
治療期間
全治療期間24ヶ月