湘南歯科医院の自費治療の症例集です。一般的な保険治療では治すことが難しいと診断された状態だったとしても、当院で行なっている自費の治療であれば、諦める事なく治せているケースも沢山あります。もしこの様なお悩みがある場合は、躊躇せずに一度ご相談してみて下さい。
【セラミックブリッジによる治療】

#症例:虫歯が進んで来た人向けのセラミックブリッジによる治療
治療後の経過は20年以上
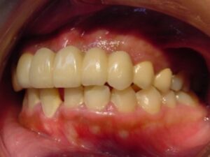
#交通事故で前歯を2−3本喪失した場合のセラミックブリッジによる治療
治療後の経過は20年以上
【ドイツ式義歯治療に関する症例】
# 小さい範囲の義歯治療

治療後の経過は12年
#その他の小さい範囲の義歯症例
#中程度の範囲の義歯治療(下顎)

治療後の経過は15年
#その他の中程度の義歯治療
#大きい範囲の義歯治療(上顎)
永久歯数本の先天性の永久歯の欠如、左右の乳歯4本ずつの晩期残存の場合の治療

治療後の経過は9年
#その他の大きい範囲の義歯治療

治療後の経過は12年
#上下顎の義歯治療(大きい範囲の義歯治療)


治療後の経過は10年
この治療の詳細をみる
#歯が1−3本くらいしか残っていない場合の義歯治療

治療後の経過は16年
#歯が数本しか残っていない場合の義歯治療

治療後の経過は8年
【総義歯による治療】

【歯並びとかみ合わせ改善の為の歯の矯正治療】
# 小児時期の矯正治療
永久歯が乳歯と重なって生えてきた症例

# 受け口・反対咬合の人の治療

# 出っ歯の人の治療
この治療の詳細をみる
# 顔・顎が曲がっている人の治療
この治療の詳細をみる
【顎関節症治療】


# 歯の被せ物で治した顎関節様治療
この治療の詳細をみる
# 義歯で治した顎関節症治療
この治療の詳細をみる



