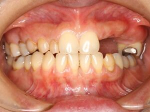
初めての来院時
初めて来院した時は、「上顎左側の歯が欠損した部分に新しく入れ歯を作ったが、違和感が大きくて、この先長く使っていられるものではなく、不安が大きくなり相談に来ました」との事でした。

この方の場合は、上顎の前歯と奥歯の間の永久歯が左右各4本ずつ先天的に欠如し、乳歯が晩期残存していました。
この様に後継永久歯が欠如している場合には、大人になっても乳歯が抜けずに残っているのですが、それでも40歳前後になると、多くの場合では残っている乳歯の歯根も自然と吸収してくるため、乳歯がグラグラしてきたり、自然脱落する場合が多いです。(*1)
上の写真の上顎の左側の葉の欠損部分は、大学病院で乳歯を抜歯後に、一般的な保険の入れ歯を作ってもらったそうですが、「とてもはめていられない」との事でした。
写真の上顎右側の中間の歯も4本が乳歯の晩期残存で、永久歯が先天的に欠如し、乳歯の歯根は殆ど残っておらず、歯がグラグラの状態で、保存不可能だった為、上顎右側の4本の乳歯も抜歯との診断になりました。
この様に、永久歯数本が先天的に欠如し、大人になるまで乳歯が晩期残存しているケースは、時々いらっしゃいます。その場合にも、テレスコープ義歯であれば、インプラントより対合歯にダメージを与える事なく、長期間安定して使っていける歯に治す事が出来ます。
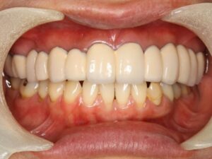
左右共に中間の歯が4本ずつ欠損になった為、上顎全体の義歯の治療プランとなりました。歯が連続で4本欠損した場合には、固定式のブリッジの被せ物で治療しても、たわみが出る事で、歯またはブリッジが割れてくる為、あまり長く使用に耐えられるブリッジにはなりません。強度的に無理な設計をした治療では、どうしても壊れやすく、長持ちしません。


そこで、当院では、ブリッジの形態をしていても、取り外し式のテレスコープ義歯をご提案しました。取り外すことのメリットとして、歯の欠損部の歯肉の部分に咬合力が掛かっても、たわみが出にくい様に歯肉にピッタリ適合した義歯床を付ける事で、義歯床がたわみが出ない様な維持になり、義歯が動きにくいデザインになります。
固定式のブリッジは取り外せない歯なので、歯の欠損部分は歯肉から少し歯を浮かせる形態を取ります。この隙間がある事で、歯の欠損部分が長いブリッジの場合は、たわみが生じます。インプラントも同様の理由で、歯の欠損部分と歯肉との間は、歯磨きで汚れが取れる様に隙間を開けるので、この隙間に物が詰まりやすかったり、喋った時の音が漏れるといったデメリットがあります。

確かに「取り外す」というところに抵抗感を感じる方もいらっしゃるのですが、「取り外せない」デメリットも実際には多いところなので、「治療で優先したい事がどこなのか」を考えて治療を選択して頂くのが良いかと思います。
治療後の笑顔はとても自然な口元になりました。

*1:厚生労働省 歯科疾患実態調査より、成人人口のうち後継永久歯に先天性欠如があった1−2%で、乳歯の晩期残存が確認され、年齢が上がるほど、その喪失率は高まる。
治療費用
8歯欠損14歯分のテレスコープ義歯治療 2,440,000円
*治療を行った地点での費用の表示となります。
内容:仮歯、テレスコープ義歯(レバー付き)、内冠、歯の形成、印象等の義歯治療に関わる治療作業費用を含む。
(歯の抜歯及び歯の神経の治療が必要な場合は、保険内治療の範囲内で別途となります)
治療期間
全治療期間12ヶ月
治療後の経過は8年