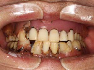
〈治療前〉
今まで何度も入れ歯を作ったが、合うものが見つからなくて困っていると幾つもの義歯をお持ちになってご相談にいらした方です。
この義歯では、前歯の歯並びがかみ合ってないので、残念ながら噛めません。

また別のこの義歯は、徐々にバネがかかっていたところの歯を失っていったせいか、金属のバネのところには人工歯を足して入れ歯を修理してありました。また、奥歯の歯の高さが上下顎でかみ合っていない部分もあり、残念ながら噛めません。

口元もキレイな歯並びには見えませんでした。

〈治療後〉
当院では、上下顎の歯と歯がかみ合っっている状態の入れ歯をお作りしました。


この位上下の歯と歯がピッタリ隙間なくかみ合っていないと、噛める義歯にはなりません。患者様は以前よりしっかり噛める様になったので、体調が良くなったとおっしゃっていました。
噛める様になると、お口の調子だけでなく、全身的に健康的になっていきます。

自然でキレイな口元に変わっていると思いませんか?!
治療費用
上顎:総義歯治療 700,000円
下顎:総義歯治療 700,000円
*治療を行った地点での費用の表示となります。
内容:上下顎の総義歯、義歯の印象等の義歯治療に関わる治療作業費用を含む。
治療期間
全治療期間3ヶ月
歯の型取り(精密な歯の型を取るための個人トレー作製の歯の型取り)
↓
個人トレーを使用した精密な歯の型取り
↓
義歯の仮合わせ
↓
上下顎の総義歯完成、口腔内に義歯を装着
↓
義歯の調整
治療後の経過は7年