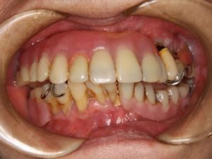
〈治療を始まる前のお口の状態〉

今使っている入れ歯の留め具を支えている歯がグラグラ揺れている為、その歯が抜けてしまったら、入れ歯が使えなくなってしまうので、この先が心配。また、嘔吐反射があるので、入れ歯を新しくする事で、本当に使えるか心配…というお悩みで当院へ来院しました。
私の今までの治療経験上では嘔吐反射がある方は、お口の中でカタカタ動く義歯を使用している場合に嘔吐反射が出やすくなりますが、お口の中で安定して動きづらい義歯に変えると、嘔吐反射は止まってきて、義歯をはめていられる様に治る場合が殆どです。

治療前はこの様な感じのお口の状況でした。
〈治療中〉
テレスコープ義歯の治療では、まず仮義歯をできるだけ早期に作製し、噛めない、歯が抜けそう…と言った緊急事態から脱して、噛める状態になる治療を優先的に行います。この治療の間に、腫れた歯肉や折れてしまった歯などの治療を行い、お口の中の状態を安定させなければ、精密な義歯は作れません。長年噛めないままのお口の中は、色々と問題が出ているので、仮義歯を使っていただいている間に、これらの治療を行い、お口の中が綺麗に治ってから、最終的なテレスコープ義歯の作製治療へ移行します。
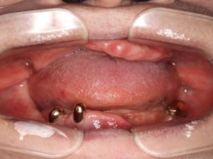
〈テレスコープ義歯を装着すると〉

お口の中が安定して、歯も歯肉もキレイに治ると、この様なお口の状態になります。残っている歯には内冠と呼ばれるテレスコープ義歯に合わせた被せ物が合着してあります。

これが最終的な上顎の義歯です。

上下顎の義歯を嵌めるとこの様に、お口の中でピッタリフィットしています。かみ合わせも上下顎でピッタリ合っています。治療後は嘔吐反射が出る事はなく、就寝時も含めてご使用いただいています。

テレスコープ義歯を上下学はめたところの口元です。初診の時の口元と比べると、とても自然で素敵な笑顔のお顔に治りました。体に合った適合の良い入れ歯は、お顔の印象も明るく変えてくれる効果があります。
治療費用
上顎:総義歯治療 70,000円
下顎:フルカバータイプのテレスコープ義歯治療 2,200,000円
*治療を行った地点での費用の表示となります。
内容:上下顎の仮歯、テレスコープ義歯、内冠、歯の形成、印象等の義歯治療に関わる治療作業費用を含む。
(歯の抜歯及び歯の神経の治療が必要な場合は、保険内治療の範囲内で別途となります)
治療期間
全治療期間14ヶ月
歯のない時期を避ける為、治療スタート後、上下顎の仮歯作製のための歯の型取り
その後、仮義歯を装着して、噛める状態へ改善
↓(ここまでは約2ヶ月間)
その後、悪化し保存不可能な歯を抜歯しますが、仮歯が先に出来ているので、抜歯後も人から見える部分に歯がない時期はありません
↓
抜歯した部位の歯肉の陥没がキレイに治るのを6ヶ月間待ちます
↓
歯ぐきがキレイに治った後、歯の型取り
↓
義歯の仮合わせ
↓
テレスコープ義歯完成、口腔内に義歯を装着
↓
義歯の調整
治療後の経過は8年