60代の男性の治療をご紹介いたします。
当院へ受診されるまで、殆ど歯科で治療を受診した事はなかったそうです。

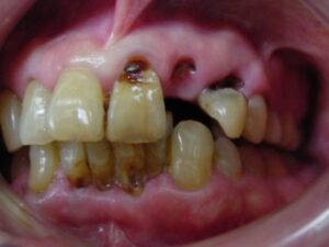
初診時は上顎の前歯の虫歯がかなり進んだ状態でしたが、虫歯の部分をキレイに除去した後、折れない様に歯の補強を行なってから、歯形の印象を取り、セラミック ブリッジを被せる治療を行いました。

前歯は歯の色や形が口元の印象を大きく左右する部分なので、当院では患者様の歯の色のご希望などを綿密に打ち合わせをしながら、治療を進めています。勿論、どうするのが良いかが分からない患者様が殆どなので、院長の私の経験上一番オススメの色や形などをお伝えして、そこから選んでいただく場合が多いと思います。

被せ物と天然歯が隣り合わせになる場合は、隣接する歯の形を相似形にし、ヒビの線などがあれば、それも似せて相似系にすると、被せ物がよりリアルな感じになりますが、その色合わせはとても難しく高い技術力が必要になってきます。
その甲斐あって、治療前の状態からは想像できない様な、どこに被せ物が入っているのかが分からない様な状態に直っています。当院では、見た目をキレイに仕上げるだけでなく、この様な部分的な歯の治療であっても、上下顎の全体の歯のかみ合わせのバランスを機能面から整っている事も確認しながら、ブリッジを作製しています。その為、夜にナイトガードなどをブリッジの破損防止のために装着はしなくてOKです。
その後は、もう20年以上使用して頂いています。
治療費用
180,000円×4本
内容:セラミック前装冠ブリッジ、仮歯、印象等のブリッジ作製に関わる治療作業費用を含む
治療期間
前治療期間:8ヶ月
歯のない期間を避ける為、仮ブリッジは治療スタート当日に装着
↓
その後、保存不可能な歯根を抜歯
↓
仮ブリッジを装着して、抜歯後の傷の治癒、骨の再生を6ヶ月間待ち、創部が安定した後に最終的なブリッジ作製治療へ移行
↓
歯の型取り
↓
ブリッジの仮合わせ
↓
ブリッジ完成、お口の中へブリッジを合着(歯の型取りからブリッジ完成までの期間:約2ヶ月)
*抜歯後に歯のないままの時期はありません。