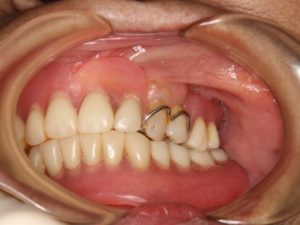
〈治療前〉
治療前は上顎に2本、下顎に1本の歯が残っていて、残っている歯に金属のバネをかけてクラスプ義歯を使用されていました。当院へは使用している義歯であまり噛めないとご相談を受けました。


この時の口元は左右の唇が対照的ではないところや下唇の方が前に膨らんでいるところが気になります。

〈義歯治療後〉
治療後は口元に少し張りも出て、お口の形も左右対称になりました。ご本人は知り合いの人に「あなたは歯が良くていいわね!」と言われたと喜んでました。料理がお好きな方で、色々食べられる様になって嬉しいとおっしゃっていました。

上下顎にレジリエンツテレスコープ義歯治療を行いました。

治療費用
上顎:フルカバータイプのテレスコープ義歯治療 2,200,000円
下顎:フルカバータイプのテレスコープ義歯治療 2,200,000円
*治療を行った地点での費用の表示となります。
内容:仮歯、テレスコープ義歯、内冠、歯の形成、印象等の義歯治療に関わる治療作業費用を含む。
(歯の抜歯及び歯の神経の治療が必要な場合は、保険内治療の範囲内で別途となります)
治療期間
全治療期間3ヶ月
歯のない時期を避ける為、治療スタート後、まず初めに、仮義歯の型取りをします
その後、仮義歯が完成したところで、仮義歯を口腔内に装着し、噛める状態へ改善
↓
このケースでは、抜歯はしていないので、仮義歯で噛める様に慣れた後に
歯の型取り
↓
義歯の仮合わせ
↓
テレスコープ義歯完成、口腔内に義歯を装着
↓
義歯の調整
治療後の経過は14年