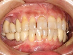
初めて当院へ来院なさった時は、
一般的な保険治療の義歯を使用されていました。その時に使っている入れ歯では、食事の時によく噛めない事や、金属のバネが他の人から見える事などが気になっているとご相談を受けました。


下顎の奥歯は既に3本喪失していて、金属のバネ(クラスプ)式の入れ歯をお使いでした。この入れ歯は、フレキシブルタイプの義歯である為、お口の中の固定感は得にくく噛む時に力が逃げる緩衝タイプの入れ歯である事をご説明し、しっかり噛める様に治すには、リジットタイプの義歯でないと固定感のある義歯にはならない事、そしてリジッドタイプの義歯はテレスコープ義歯以外にほぼ無い事などをご説明しました。
治療のご希望を受け、治療を開始することになりました。
治療中にも、当院では見える部分での歯がない事を避ける為、必要に応じて治療中に使用して頂く、仮の歯や仮義歯を治療に先駆けてご用意しておく事で、歯を抜いた後に歯が無いまましばらく待って頂く…といった極力「歯が無い期間」が無い治療プランで治療を進めています。
その方のお口の中の状態によって、この仮歯や仮義歯の形態は異なります。

この状態が治療中の仮の歯の状態です。この様に、治療がスタートしたら、先ずは噛める様な歯の状態に仮の義歯などで治療していきます。これにより、お口の中がどんどん壊れていく状態から、痛みもなく、安定した状態に直した後に、最終的に使っていく義歯の製作を進めていきます。

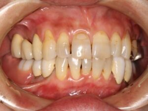
こちらが今回お作りした、下顎の奥歯のテレスコープ義歯です。義歯のデザイン・形態などはその方の歯の状況や顎の骨の形態などによって異なる為、お口の中の状況が似ているからといって、必ずしも同じデザインになるとは限りません。

こちらがテレスコープ義歯を装着したところです。この方の場合は、リーゲルテレスコープタイプの義歯で治療を行いました。治療する前に比べると、入れ歯をしている事は他の人には一切わからない様に精巧に出来ています。バネなどの金属が見える事もないので、食事がバネに引っ掛かるなどの不具合も出ませんし、このリーゲルテレスコープ義歯はレバーで、残っている歯と入れ歯を固定する仕組みなので、引っ張っても外れない仕組みになっています。
この義歯を使い始めてから15年が経過していますが、現在も継続して使用して頂いています。
テレスコープ義歯はこの様に、一般的な保険義歯とは比べられないくらい長期間、安定して使用して頂ける義歯です。
治療費用
4歯欠損9歯分のテレスコープ義歯治療 1,820,000円
*治療を行った地点での費用の表示となります。
内容:仮歯、テレスコープ義歯(レバー付き)、内冠、歯の形成、印象等の義歯治療に関わる治療作業費用を含む。
(歯の抜歯及び歯の神経の治療が必要な場合は、保険内治療の範囲内で別途となります)
治療期間
全治療期間4ヶ月
治療後の経過は15年