初めての来院時は…

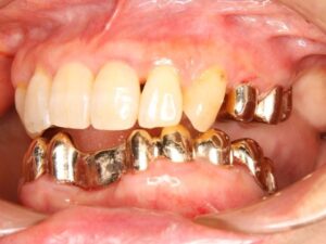
右上と左下に金属のバネ式の義歯をご使用になっていました。しかし、食事の時には食べにくくて、途中でいつも外してしまう。下の前歯は抜けてしまって、つけてもらったが、それも徐々に傾いてきている…といったお悩みで、当院を受診されました。
歯並びにも問題があり、上顎の奥歯の中には、歯の殆どの部分が歯肉の中に埋伏していて、歯肉からちょこっと歯が顔を出しているくらいの歯もあり、そのままの歯の位置では上下の歯が噛み合わせられない様な歯もあり、ただ上の奥歯は歯を喪失していた部分も数本分あったので、治療計画を立てるのが、とても難しい歯の状態でした。
上の写真の様な状態で、上下の歯と歯の噛み合う位置が殆どなかったので、まずは上下顎の歯が噛み合う様に、治療中に使用して頂く為の仮歯で歯の噛み合わせが合う様に調整しました。

治療をスタートして、上の写真が仮歯と仮義歯を入れて噛める様に調整したところです。
まずは、この様に噛める状態のお口の状態に回復した後で、個々の歯の悪化した部分の抜歯や虫歯治療を並行して行い、歯肉も残っている歯の状態も治ってから、いよいよ最終的な義歯の作製が始められます。

テレスコープ義歯は内冠と呼ばれる被せ物を義歯の固定源として歯に被せて、ここで義歯をガチッとホールドする事で、他の義歯には出せない様な安定感、固定感を出す事ができます。
患者様の中には、義歯を外した時に「歯が金属色になる事に抵抗感がある」とおっしゃる方もいらっしゃいます。
確かに、そうかもしれませんが、この状態を人に見せる必要はなく、あくまでも、義歯を外せる様にしているのは、歯のお掃除をし易くする為で、いくらキレイに治療したとしても、その後のお手入れが悪ければ口臭の原因になったり、虫歯や歯周病の進行が進みやすくなり、結果として長期的に長持ちする様な安定した治療にはなりません。
というところを、ご理解いただければと思います。


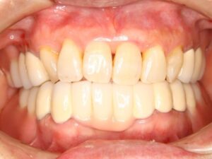
最終的に上下顎にこの様なテレスコープ義歯が入り、とてもキレイな口元に治りました。

「先生、噛めないって本当に辛いんですよ、今は噛める様になって、治療して本当によかったです」と治療が終わってだいぶ何年も経ってから、この患者様がおっしゃっていました。
現在、治療してから8年が経過します。4ヶ月毎のメンテナンスにいつもいらしていただいているので、その後は特に悪化する部分もなく、安定しています。
歯のクリーニングをきっちりして、口腔内の状態を保って頂ければ、長く安定的に使用して頂ける義歯治療だと思います。
治療費用
上顎:4歯欠損8歯分のテレスコープ義歯治療 2,340,000円
下顎:6歯欠損14歯分のテレスコープ義歯治療 2,880,000円
*治療を行った地点での費用の表示となります。
内容:仮歯、テレスコープ義歯(レバー付き)、内冠、歯の形成、印象等の義歯治療に関わる治療作業費用を含む。
(歯の抜歯及び歯の神経の治療が必要な場合は、保険内治療の範囲内で別途となります)
治療期間
全治療期間13ヶ月
歯のない時期を避ける為、治療スタート後、まず初めに治療部位の歯を形成し、仮歯を装着
その後、仮義歯を装着し噛める状態へ改善
↓(ここまでは約2ヶ月間)
その後、悪化し保存不可能な歯を抜歯しますが、仮歯が先に出来ているので、抜歯後も人から見える部分に歯がない時期はありません
↓
抜歯した部位の歯肉の陥没がキレイに治るのを6ヶ月間待ちます
↓
歯ぐきがキレイに治った後、歯の型取り
↓
義歯の仮合わせ
↓
テレスコープ義歯完成、口腔内に義歯を装着
↓
義歯の調整
治療後の経過は8年