当院へ初めてご相談にいらした時には…
奥歯を何回も治療しているが、噛めない・食べ物が噛めず、そのまま飲み込む様に食べているので胃腸に負担がかかっている・どこで噛んだらよいのか分からない…と多くのお悩みを抱えていらっしゃいました。

歯の咬み合わせには、いくつかの噛める為の法則があり、この条件を満たしていない歯並びは、繰り返し治療してもすぐに悪化してしまう、喋りにくい、食べ物が噛み砕けない
…といった問題の原因となります。
この方の場合は、上下顎の奥歯同士がかみ合っていない事、上の前歯が下の前歯を覆うかみ合わせになっていない事が問題で、受け口(反対咬合)の噛み合わせを改善する治療が必要でした。そこで、虫歯の治療も必要でしたが、それに先駆けて、上下顎の歯並びの位置を合わせる為、歯の矯正治療で歯並びを適正に合わせる治療から始めました。

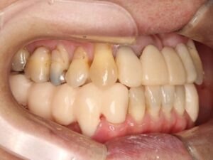
上記の写真は2年間派の矯正治療を行なったところです。治療前と比べ、上下顎の歯並びの位置のバランスが取れて、隙間なくキレイに上下の歯と歯がかみ合っていることが分かります。

上顎の前歯は治療前より被せ物だったので、矯正治療後の歯並びに合わせて、まずは保定期間中に仮の歯を修正しています。歯の矯正治療が終了すると、キレイな歯並びに移動した歯を固定する為の保定期間に移ります。保定期間は症例の状況によって異なりますが、一定期間リテーナーという歯並びを固定する為の取り外し式の装置を、歯磨きと食事の時以外24時間はめます。これは骨折した場合、骨が固まるまでギブスをするのと同じような役割です。

保定期間の後、歯の周りの骨がある程度しっかり治癒してきてから、補綴治療(虫歯や欠損歯の被せ物治療)を行います。
矯正治療前の歯並びでは、被せ物だけでバランスの取れた歯並びの歯に治そうと思っても難しいですが、矯正後の歯並びでは見た目もキレイで、食べ物も噛み易い歯に治せます。

半年間の保定期間の後、歯を欠損した部分などがある方の場合は、被せ物やテレスコープ義歯で治療していきます。こちらは、先ずは被せて治す必要のある部分を仮の歯で治したところの写真です。

治療前は反対咬合で前歯がかみ合っていませんでしたが、ワイヤーでの矯正治療だけで下顎は正常咬合の骨格まで後へ下がりました。反対咬合の人の場合、外科矯正になる事も多いのですが、当院で行っているMEAWのワイヤー矯正で手術が必要な外科矯正を避ける事が出来てよかったです。
この後は、最終的な被せ物と義歯の作製へ治療は進みます。
治療費用
(2期矯正治療)
・治療前の検査費用:80,000円
・矯正基本治療費:1,000,000円+100,000円(ホワイトブラケットの場合は+100,000円)
・矯正管理料:5,000円/回
・補綴装置(リテーナー)60,000円
治療期間
矯正治療の動的治療期間 26ヶ月
動的治療後の保定期間 6ヶ月
*今後、歯の欠損部分等の被せ物による治療等を予定